インプラント治療とは

インプラント治療とは、歯が失われてしまった部分に人工の歯を埋入する治療のことです。人工の歯根を顎の骨の中に埋め込み、その上に人工の歯を固定します。

入れ歯やブリッジと異なり隣の歯を削って負担をかけることもなく、自分の歯と同じような感覚で強い力で違和感なく噛むことができるようになります。
また、下顎の総入れ歯が不安定で動いてしまう方や、上顎の総入れ歯で口蓋が無いものを使用される場合などには、インプラントによって入れ歯を固定する方法も有効です。

インプラント治療の流れ

検査後、緻密な治療計画
インプラント治療を始める前には、慎重な事前検査が必要になります。レントゲン撮影・CTスキャン・口腔内模型などによる十分な検査を行い、綿密な治療計画を立てます。患者さんの同意を得てから手術の日程を決めます。

新しい歯の土台作り
お口の中が清潔で炎症のない状態であることを確認したうえで、治療を開始します。
局部麻酔を行ったあと、顎の骨にインプラントを埋め込みます。このインプラントが新しい歯の土台となります。手術後は、インプラントと骨が結合するまで待ちます。様々な条件によって期間が異なりますが、2ヶ月~半年が目安となります。

アバットメント連結
インプラントが顎の骨と結合したら、インプラントの上にアバットメントを連結して人工の歯(上部構造)を装着する準備をします。

人口歯の装着
インプラントのヘッドに人工の歯(上部構造)を装着します。これでインプラントを装着する治療が終わります。

メンテナンス
インプラントを装着した後、インプラントを長持ちさせるため、メンテナンス(検診)に定期的に通っていただく必要があります。インプラントのネジの締まり具合を点検したり、噛み合わせの調整も必要になります。
また、インプラントはむし歯にはなりませんが、メ ンテナンスを十分に行わないとインプラント周囲炎(歯周病)にかかることがあります。

 

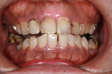
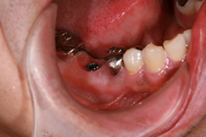
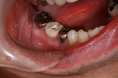
インプラント症例

術前

術中